Smile Gallery
The smile gallery at Affordable Dental Care PC showcases real results from real patients treated at our Rego Park, NY office. Dr. Pinkhasova and her team take pride in delivering smile transformations that look natural, feel comfortable, and last. Browse the before and after photos below to see the quality of care our Queens patients experience every day.
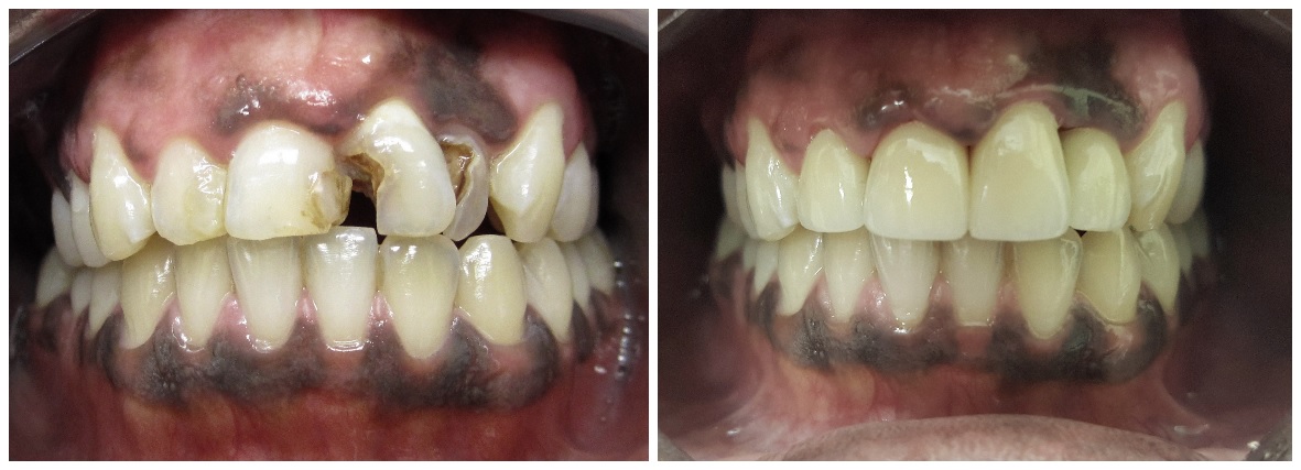
Smile Transformations in Rego Park, NY
Every smile in this gallery represents a patient who came to us with a concern and left with a result they are proud of. Our cosmetic and restorative dental treatments address a wide range of issues including staining, chipping, cracking, gaps, missing teeth, and misalignment. Whether through a single procedure or a comprehensive smile makeover, we build treatment plans around each patient's specific goals and budget.
Procedures featured in our smile gallery include:
- Dental veneers and laminates — thin porcelain shells bonded to the front of teeth to correct shape, color, and size
- Professional teeth whitening — in-office whitening that delivers results far superior to over-the-counter products
- Dental crowns and bridges — full coverage restorations that rebuild damaged or missing teeth
- Dental implants — permanent tooth replacement that looks and functions like a natural tooth
- Dental bonding — a fast, affordable way to repair chipped or discolored teeth
- Invisalign — clear aligner treatment to straighten teeth without metal braces
Start Your Smile Transformation
If you are considering a cosmetic or restorative procedure and want to know what results are possible, we invite you to schedule a consultation with Dr. Pinkhasova at our Rego Park office. We serve patients throughout Queens including Forest Hills, Jackson Heights, and Elmhurst, and we are currently accepting new patients.
Call (718) 897-3434 to book your appointment or use the form below to request one online.
Request an Appointment





